
China’s 11,000-Ton Destroyer Fires Jamming Missiles Near Taiwan in Tense Encounter With Aircraft
A Chinese warship moved from silent tracking to a sudden electronic response as foreign aircraft closed in near Taiwan.
Health news, medical research and wellness coverage.
550 articles

A Chinese warship moved from silent tracking to a sudden electronic response as foreign aircraft closed in near Taiwan.

I’ve broken up with 15 to 18 people in the last few years. I don’t regret a thing.

From preventing nail-biting and doomscrolling all the way up to helping people addicted to drugs, knitting can have a surprisingly powerful affect on your brain.

TMZ may collect a share of sales or other compensation from links on this page.

Health breakthroughs, a Ukrainian conservation success, and a win for river defenders in the Amazon, plus more good news

“Short, simple routines done consistently deliver far better results than complex programs,” says trainer Heath Jones
"He almost died because the doctors refused to take him seriously."

Health officials plead with residents to vaccinate against measles as Utah hits 358 infections.

A well-designed 10-minute online exercise can spark small reductions in depression.
A new scientific statement from the American Heart Association breaks down how your dental health may impact your heart. Here’s what cardiologists say.


The findings suggest that tapering could help GLP-1 users reduce their medical bills while maintaining their weight loss.

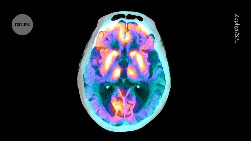
When specialized cells called tanycytes stop working, disease-causing tau proteins build up in the brain.

The rise in heart and cardiovascular disease among women is a public health crisis. Here are the risk factors to be aware of and the symptoms of a heart attack you should know.
County officials said the raccoon was involved in an incident on Wednesday between Martin Luther King Boulevard and Umstead Drive in Chapel Hill. According to the county, someone tried to remove the injured raccoon off the road.

Weight and blood pressure are important biomarkers, but these five other metrics can tell you more about your overall health.

At least 61 of the made-up case reports were unwittingly cited in other peer-reviewed medical journals, creating hundreds more errors.

The new generation of Alzheimer's disease drugs—the first proven to change the course of the disease—typically extend independent living for patients by 10 months. Called monoclonal antibodies, they reduce the accumulation of a harmful protein, amyloid, in the brain and require high-dose, once- or t

A federal inmate being held in the Doña Ana County Detention Center is the latest person to have tested positive for measles.

The FDA approved a vaccine for mumps nearly 60 years ago, so why are some areas of the United States experiencing outbreaks now, and who should be concerned?

A trainer shares 5 bed exercises for back pain after 60 that rebuild strength and stability — no equipment or floor work required.

The Centers for Disease Control and Prevention issued a Level 2 advisory as poliovirus appears in parts of Africa, Europe and the Middle East.

A new study finds that popular GLP-1 drugs used to treat diabetes and obesity show new promise in fighting multiple substance use disorders.

Autism's defining metaphor of a spectrum may be due for retirement, says one of the field's most influential voices. Dame Uta Frith, the University College London cognitive...